Últimas noticias

Trasplantan dos pulmones a una joven afectada por Covid-19

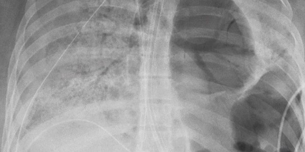
La joven de 20 años permanece en un respirador mientras su cuerpo se cura; la paciente estaba en mal estado, su corazón, riñones e hígado comenzaban a fallar, señaló el médico que la atendió
Trasplantan dos pulmones a una joven afectada por Covid-19

Cirujanos en Chicago le han dado un nuevo par de pulmones a una mujer joven con daño pulmonar grave por el coronavirus.

Northwestern Medicine anunció el jueves el procedimiento, que tuvo lugar el viernes pasado. Solo unos pocos sobrevivientes de Covid-19, en China y Europa, han recibido trasplantes de pulmón.

La paciente de Chicago tenía alrededor de 20 años y estaba en un respirador y una máquina de corazón y pulmón durante casi dos meses antes de su operación en el Northwestern Memorial Hospital.

El procedimiento de 10 horas fue desafiante porque el virus había dejado sus pulmones llenos de agujeros y casi se fusionó con la pared torácica, dijo el doctor Ankit Bharat, quien realizó la operación.

Ella permanece en un respirador mientras su cuerpo se cura, pero está lo suficientemente bien como para ver a su familia por video y los médicos dicen que sus posibilidades de tener una vida normal son buenas.

"Estamos anticipando que se recuperará por completo", declaró el doctor Rade Tomic, director médico del programa de trasplante de pulmón del hospital.

La paciente no fue identificada, pero Bharat dijo que se había mudado recientemente a Chicago desde Carolina del Norte para estar con su novio.

Por lo demás, estaba bastante sana, pero su condición se deterioró rápidamente después de ser hospitalizada a fines de abril. Los médicos esperaron seis semanas para que su cuerpo eliminara el virus antes de considerar un trasplante.

Los pulmones representaron solo el 7% de los casi 40 mil trasplantes de órganos de Estados Unidos el año pasado. Por lo general, son difíciles de encontrar y los pacientes suelen esperar semanas en la lista de trasplantes.

La paciente de Chicago estaba en mal estado, con signos de que su corazón, riñones e hígado comenzaban a fallar, por lo que rápidamente se le dio la atención, indicó Bharat.

MEJZ*