La revista Journal of Pediatric Surgery Case Reports, dio a conocer el nacimiento de una bebé con cola en el estado de Nuevo León.
El nacimiento de la pequeña se dio con normalidad: una cesárea en un hospital rural neoleonés, con padre y madre sanos y no consanguíneos, quienes previamente ya habían tenido un hijo, igualmente sano.

Según el artículo, el embarazo de la madre no presentó complicaciones, no hubo registro de exposición a radiación o a teratógenos (agentes capaces de causar un defecto congénito).
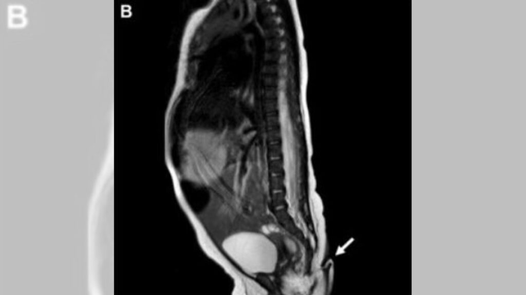
Fue hasta que estuvo fuera del vientre de su madre que los doctores detectaron que la recién nacida presentaba una estructura en forma de cola de 5.7 cm de longitud y de entre 3 y 5 mm de diámetro. La extremidad se encontraba en la hendidura interglútea.
Detalla que la estructura de la cola era blanda, cubierta de piel y pelo fino, se podía mover pasivamente sin dolor, pero no mostraba ningún movimiento espontáneo. Al detectarlo, los médicos procedieron a pellizcar la extremidad con una aguja, al hacerlo la bebe lloró, por lo que confirmaron conexión nerviosa.
Tras cumplir los dos meses, la menor fue revaluada por el equipo de pediatría y cirugía general, encontraron que la cola había crecido 0.8 centímetros, por lo que fue extirpada y la zona afectada fue reconstruida mediante plastia de Limberg.
Una vez separada del cuerpo de la bebé, la cola fue sometida a más análisis en los que se reveló que la muestra contenía tejido blando, incluyendo tejido fibroadiposo, estructuras vasculares y haces nerviosos, cubiertos por piel, sin alteraciones histopatológicas.
De acuerdo a la publicación del Journal of Pediatric Surgery Case Reports, la pequeña fue dada de alta y no se registraron complicaciones en el seguimiento.
De acuerdo con el artículo del estudio del caso, existen pocos casos de cola humana reportados a nivel mundial en la literatura médica.
MEJZ* / n