A veces las madres de familia tienen que hacer lo imposible para procurar que cuiden a sus hijos en sus horas laborales, pero algunas veces esta tarea es imposible.
Este fue el caso de una mamá de Perú, quien debido a que no tenía con quién encargar a su hijo de dos años, se lo llevó a su trabajo.
La mujer fue sorprendida por el pequeño, pequeños apenas dos años, quien mientras ella estaba enfocada en sus labores, se tragó accidentalmente ocho agujas utilizadas para inyectar ganado.
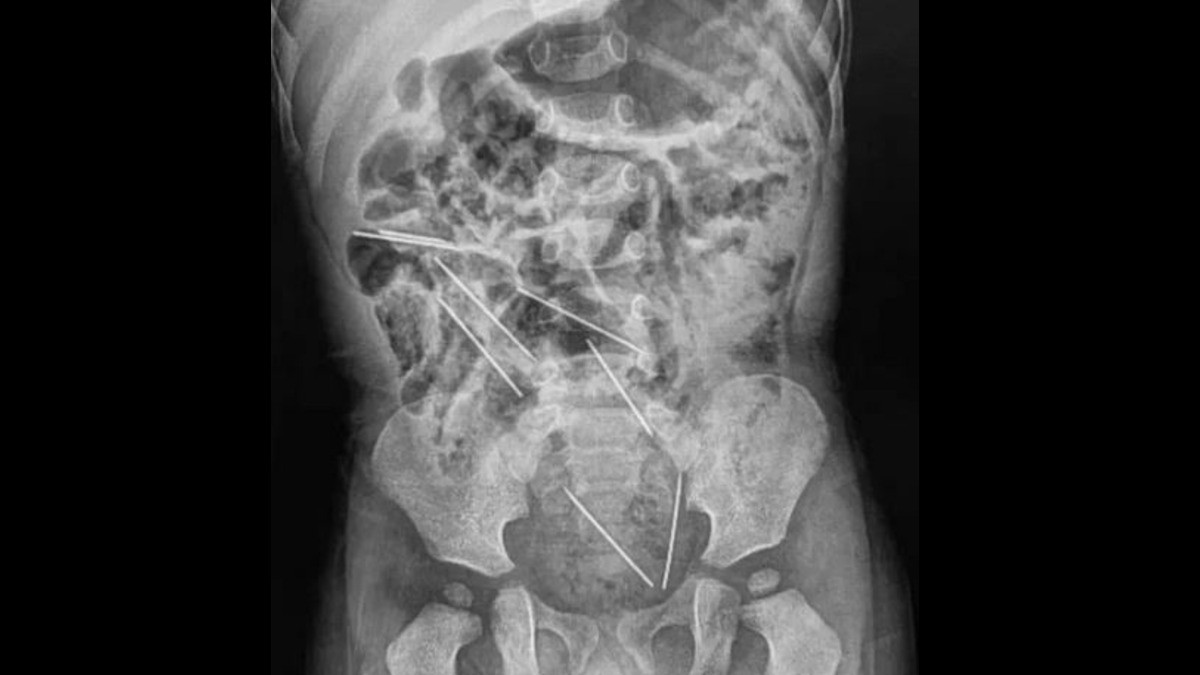
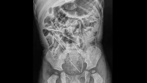
Al darse cuenta del accidente, de inmediato llevó al niño a urgencias en un hospital de Tarapoto. Cuando los médicos le realizaron una radiografía del abdomen, confirmaron que se había tragado ocho agujas.
Te puede interesar: Se intoxican 8 niños en escuela por consumir dulces con droga; una alumna los vendía
Antes de ser intervenido, los médicos le advirtieron a la mamá que el procedimiento era delicado, pero gracias al profesionalismo del equipo médico, la madre pudo abrazar a su pequeño travieso, que en menos de dos horas ya estaba en el área de recuperación.
El incidente ocurrió cuando Narly Olórtegui Pisco, Perú. La madre del niño lo llevó a la granja donde ella trabaja, ya que no tenía quien lo cuidara, fue ahí donde el menor ingirió accidentalmente ocho agujas.
El cirujano que encabezó la operación, dio a conocer que las agujas estaban en diferentes lugares del abdomen del niño, algunas de ellas en posiciones peligrosas. Dos agujas estaban ubicadas entre la vejiga y el recto, lo que agravaba la situación.
Narly Olórtegui Pisco, la mamá del menor, agradecó a los médicos por salvar la vida de su hijo, y reconoció que sin su intervención, el desenlace podría haber sido faltal.
MEJZ*