Canberra, Australia - Un gusano parasitario de 8 centímetros de largo fue extraído por cirujanos del cerebro de una mujer australiana, en la primera vez que se documenta un caso de este tipo en humanos
Toda la historia se detalló en un estudio en la revista Emerging Infectious Diseases. Ahí se relata como la mujer, de 64 años y residente de Canberra, Australia, tenía síntomas irregulares, como diarrea, tos seca, dolor abdominal, sudoración nocturna, pérdida de la memoria y depresión, entre otros.
Lee también: VIDEO Enorme pitón de 5 metros de largo sobre una casa aterra a familia; pesaba más de 100 kilos
Debido a esto, comenzó a ser tratada por la neurocirujana Hari Priya Bandi, que no entendía los extraños síntomas de la paciente.
Al principio tenía muchos síntomas pulmonares, hepáticos y abdominales, pero a principios del año pasado empezó a tener más síntomas depresivos, no se sentía ella misma y estaba fuera de control", platicó la doctora en entrevista para la Deutsche Welle.

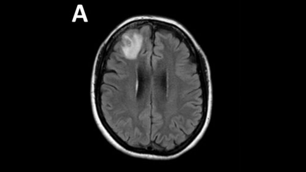
Por su parte, el médico infectólogo Sanjaya Senanayake, coautor del estudio, explicó que ante los irregulares síntomas, esperaban que la paciente tuviera un tumor, cáncer o una afección inmunológica. Pero cuando la operaron del cerebro en busca de un tumor, se hallaron con algo completamente inesperado.
Logran extraer el gusano con éxito
Finalmente, la doctora Bandi realizó la cirugía cerebral de la paciente, pero cuando esperaba encontrar un tumor, dio con el gusano alojado en el cerebro.
"Usé pinzas para sujetar tumores y saqué algo que definitivamente no esperaba: un cordel lineal y serpenteante. Y el médico asistente dijo: '¿Es una arteria?', porque eso es lo que parecía. Pero yo le dije: 'No es una arteria. No estamos cerca de ninguna arteria'. Y me di cuenta de que se movía e inmediatamente dije, 'por favor, ¡sácalo de mis pinzas!'. Así que lo pusimos rápidamente en un recipiente de patología y era un gusano que se movía vigorosamente", contó a DW.
La neurocirujana cree que el gusano se movía por distintas zonas del cerebro de la mujer, lo que explicaría por que los síntomas eran tan cambiantes y extraños.

Tras analizar el gusano, que medía ocho centímetros de largo, lo identificaron como una larva de Ophidascaris robertsi, un parásito autóctono de Australia que infecta serpientes, pero que hasta ahora no se conocía ningún caso en humanos.
Te puede interesar: VIDEO. Motociclista rebasa sin precaución y él mismo graba cuando auto le destroza el pie
Se cree que la mujer ingirió el huevo del gusano al consumir espinaca de Nueva Zelanda (Tetragonia tetragonoides) para cocinar. Pero de cualquier modo, seis meses después de la extracción del parásito, la mayoría de sus síntomas han desaparecido y evoluciona favorablemente.
JRP